هیدروسفالی چیست؟ علل، تشخیص و درمان

اصطلاح «هیدروسفالی» از دو واژه یونانی تشکیل شده است: «هیدرو» به معنی آب و «سِفال» به معنای جمجمه. در حقیقت، هیدروسفالی به تجمع غیرطبیعی مایع مغزی ـ نخاعی (CSF) در داخل جمجمه گفته می‌شود. این مایع شفاف درون بطن‌های مغز جریان دارد، به‌طور مداوم تولید می‌شود و از طریق مسیرهای مشخصی به اطراف مغز و نخاع می‌رسد. سپس در نواحی خاصی از جمجمه جذب خون شده و نقش حیاتی در شست‌وشوی بافت‌های عصبی دارد.

اگر بنا به هر دلیلی میزان این مایع بیش از حد تولید شود، مسیر خروج آن مسدود گردد یا جذب آن به‌درستی انجام نشود، مایع در بطن‌های مغزی جمع می‌شود و فشار داخل جمجمه افزایش می‌یابد. به این وضعیت «هیدروسفالی» می‌گویند.

افزایش فشار داخل جمجمه در هیدروسفالی

هیدروسفالی یک بیماری عصبی است که در آن حجم مایع مغزی ـ نخاعی بیش از مقدار طبیعی می‌شود و به دنبال آن فشار داخل جمجمه بالا می‌رود. این مشکل اغلب به دلیل اختلال در جذب یا تخلیه CSF ایجاد می‌شود.

علائم هیدروسفالی می‌تواند شامل سردردهای شدید، حالت تهوع، استفراغ و تغییر در سطح هوشیاری یا وضعیت روانی بیمار باشد. این بیماری ممکن است در اثر نقص‌های مادرزادی، آسیب‌های مغزی، تومورها، خونریزی‌ها یا عفونت‌های سیستم عصبی به وجود آید. درمان معمولاً از طریق جراحی صورت می‌گیرد؛ به‌ویژه با کارگذاری شنت یا انجام آندوسکوپی برای تخلیه مایع اضافی. تشخیص زودهنگام و درمان به‌موقع اهمیت زیادی دارد، چرا که تأخیر در درمان می‌تواند به آسیب‌های دائمی مغزی منجر شود.

علت‌های ایجاد هیدروسفالی چیست؟

علت‌های بروز هیدروسفالی متنوع‌اند و به چند دسته کلی تقسیم می‌شوند:

  • مادرزادی: نقص‌های ژنتیکی یا مشکلات رشد سیستم عصبی مرکزی که موجب انسداد مسیر جریان مایع مغزی ـ نخاعی می‌شوند.

  • اکتسابی: عواملی مانند ضربه‌های مغزی، خونریزی داخل جمجمه یا تومورهای مغزی می‌توانند مانع جریان طبیعی CSF شوند.

  • عفونی: بیماری‌هایی مثل مننژیت باعث التهاب و انسداد مسیرهای تخلیه مایع می‌شوند.

  • سایر عوامل: شرایطی مانند میلومننگوسل یا آنوریسم‌های مغزی نیز ممکن است در ایجاد هیدروسفالی نقش داشته باشند.

در برخی بیماران، علت اصلی ناشناخته باقی می‌ماند. با این حال، تشخیص سریع و درمان به‌موقع، کلید پیشگیری از عوارض جبران‌ناپذیر است.

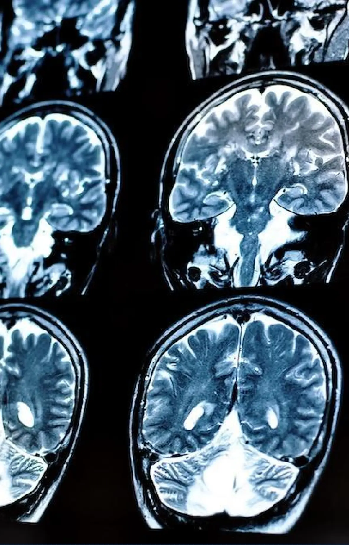
تشخیص هیدروسفالی

تشخیص این بیماری نیازمند معاینه دقیق بالینی و استفاده از روش‌های پیشرفته تصویربرداری است.

  • MRI و CT اسکن: این روش‌ها به پزشکان اجازه می‌دهند تجمع غیرطبیعی مایع در بطن‌های مغز و همچنین تغییرات ساختاری بافت مغزی را به‌طور دقیق مشاهده کنند.

  • سونوگرافی از ملاج باز در نوزادان: در نوزادانی که استخوان‌های جمجمه هنوز به‌طور کامل بسته نشده‌اند، سونوگرافی می‌تواند یک ابزار ایمن و سریع برای بررسی وضعیت بطن‌ها باشد.

  • بررسی فشار داخل جمجمه: در برخی بیماران نیاز است فشار مایع مغزی ـ نخاعی به‌طور مستقیم اندازه‌گیری شود تا شدت بیماری مشخص گردد.

  • تست‌های نورولوژیک و شناختی: این تست‌ها میزان تأثیر هیدروسفالی بر حافظه، مهارت‌های حرکتی و عملکرد شناختی بیمار را نشان می‌دهند.

علاوه بر این، پزشک ممکن است تاریخچه پزشکی بیمار، سوابق خانوادگی و وجود بیماری‌های زمینه‌ای را نیز بررسی کند. ترکیب نتایج معاینه فیزیکی با روش‌های تصویربرداری و آزمایش‌های تکمیلی به تشخیص دقیق‌تر کمک می‌کند. تشخیص زودهنگام، امکان درمان مؤثرتر و جلوگیری از عوارض خطرناک را فراهم می‌آورد و می‌تواند کیفیت زندگی بیمار را به‌طور چشمگیری بهبود دهد.

علائم هیدروسفالی چیست؟

علائم هیدروسفالی می‌تواند بسته به سن بیمار، شدت بیماری و علت زمینه‌ای متفاوت باشد. در نوزادان و کودکان خردسال، علائم بیشتر به صورت تغییرات فیزیکی در جمجمه و اختلال در رشد ظاهر می‌شود، در حالی‌که در بزرگسالان و سالمندان، علائم شناختی، حرکتی و روانی برجسته‌تر هستند.

علائم هیدروسفالی در نوزادان و شیرخواران

  • افزایش غیرطبیعی دور سر: رشد سریع و غیرمعمول محیط سر یکی از مهم‌ترین نشانه‌های اولیه است.

  • برآمدگی ملاج (فونتانل): ناحیه نرم روی سر به شکل غیرطبیعی برجسته یا متورم می‌شود.

  • تحریک‌پذیری و بی‌قراری: نوزاد به‌طور مداوم بی‌قرار است و آرام کردن او دشوار می‌شود.

  • خواب‌آلودگی غیرعادی: نوزاد ممکن است بیش از حد معمول بخوابد یا سطح هوشیاری پایینی داشته باشد.

  • تأخیر در رشد حرکتی و شناختی: اختلال در یادگیری مهارت‌هایی مثل نشستن، راه رفتن یا واکنش‌های شناختی.

  • استفراغ‌های مکرر و کاهش اشتها.

  • ضعف یا شلی عضلات و کاهش توان حرکتی.

  • اختلالات چشمی: انحراف چشم‌ها، حرکات غیرطبیعی یا نگاه ثابت به سمت پایین (علامت غروب خورشید).

  • تشنج: در برخی موارد ممکن است بروز کند.

علائم هیدروسفالی در کودکان بزرگ‌تر و بزرگسالان

  • سردردهای مداوم و تشدید شونده، به‌ویژه در صبح‌ها.

  • تهوع و استفراغ، که اغلب همراه با سردرد رخ می‌دهد.

  • اختلالات بینایی: تاری دید، دوبینی یا کاهش دید محیطی.

  • مشکلات تعادلی و حرکتی: از دست دادن هماهنگی، زمین خوردن‌های مکرر یا اختلال در راه رفتن.

  • تغییرات در شخصیت یا رفتار، از جمله تحریک‌پذیری، افسردگی یا کناره‌گیری اجتماعی.

  • مشکلات حافظه و یادگیری، کاهش تمرکز و افت عملکرد تحصیلی یا شغلی.

  • بروز تشنج در برخی بیماران.

  • اختلالات ادراری، مانند تکرر ادرار یا بی‌اختیاری.

علائم هیدروسفالی در سالمندان

در سالمندان، هیدروسفالی می‌تواند با علائمی شبیه به دمانس (زوال عقل) همراه باشد:

  • کاهش حافظه کوتاه‌مدت.

  • مشکلات در انجام فعالیت‌های روزمره.

  • تغییرات رفتاری و خلقی.

  • اختلال در راه رفتن به شکل گام‌های کوتاه، لرزان و کشیده.

  • بی‌اختیاری ادرار.

⚠️ نکته مهم: هیدروسفالی در سالمندان گاهی با بیماری آلزایمر یا پارکینسون اشتباه گرفته می‌شود. بنابراین، تشخیص دقیق توسط متخصص مغز و اعصاب و انجام تصویربرداری بسیار حیاتی است.

💡 آگاهی از این علائم و مراجعه سریع به پزشک می‌تواند نقش حیاتی در جلوگیری از آسیب‌های مغزی و بهبود کیفیت زندگی بیماران داشته باشد. اگر شما یا یکی از عزیزانتان دچار چنین نشانه‌هایی هستید، همین امروز برای مشاوره تخصصی اقدام کنید.

عوارض هیدروسفالی

اگر درمان به‌موقع انجام نشود، عوارض زیر ممکن است رخ دهد:

  • آسیب دائمی به بافت مغزی

  • مشکلات حرکتی و تعادلی

  • اختلالات شناختی و یادگیری

  • اختلال در کنترل مثانه (بی‌اختیاری)

  • تشنج

  • کما یا مرگ در موارد شدید

در کودکان، هیدروسفالی درمان‌نشده می‌تواند موجب بزرگ شدن غیرطبیعی سر شود که گاه در شواهد باستان‌شناسی نیز دیده شده است.

درمان هیدروسفالی

درمان هیدروسفالی بسته به شدت و نوع بیماری، می‌تواند شامل روش‌های مختلفی باشد که هدف اصلی آن کاهش فشار مایع مغزی نخاعی (CSF) و جلوگیری از آسیب به بافت مغزی است. روش‌های درمانی به سه دسته کلی تقسیم می‌شوند: جراحی با شنت مغزی، آندوسکوپی و درمان‌های غیرجراحی.

درمان هیدروسفالی به روش شنت مغزی

یکی از رایج‌ترین و مؤثرترین روش‌ها، کارگذاری شنت مغزی است. شنت یک لوله باریک و انعطاف‌پذیر است که از بطن‌های مغز به بخشی دیگر از بدن مانند شکم، ریه یا قلب متصل می‌شود تا مایع اضافی تخلیه گردد. این فرآیند به کاهش فشار داخل جمجمه و بهبود علائم کمک می‌کند.

شنت‌ها معمولاً دارای یک محفظه یا پمپ کوچک هستند که زیر پوست قرار داده می‌شود. این پمپ هم برای معاینه پزشک کاربرد دارد و هم در موارد خاص به تسهیل تخلیه مایع کمک می‌کند. با وجود اثربخشی بالا، شنت‌ها ممکن است با مشکلاتی مانند عفونت، انسداد مسیر، پارگی یا نیاز به تعویض در اثر رشد کودک مواجه شوند. به همین دلیل بیماران باید تحت پیگیری‌های منظم پزشکی باشند.

✅ اگر علائم هشداردهنده مانند سردرد شدید، تهوع، اختلال در تعادل یا خواب‌آلودگی غیرعادی دوباره ظاهر شد، باید بلافاصله به متخصص مغز و اعصاب یا جراح مراجعه کرد. مشاوره به‌موقع می‌تواند از عوارض جبران‌ناپذیر جلوگیری کند.

جراحی هیدروسفالی به روش آندوسکوپی (ETV)

روش دیگر، آندوسکوپی بطن سوم (ETV) است. در این تکنیک، جراح با ایجاد یک سوراخ کوچک در کف بطن سوم مغز، مسیر جدیدی برای جریان مایع ایجاد می‌کند تا مایع مغزی-نخاعی به شکل طبیعی گردش داشته باشد.

مزیت اصلی این روش، عدم نیاز به شنت دائمی است، به‌خصوص در بیمارانی که انسداد در مسیر جریان مایع وجود دارد. با این حال، آندوسکوپی برای همه بیماران مناسب نیست و احتمال بسته شدن مسیر ایجادشده وجود دارد. امروزه در برخی موارد از ترکیب آندوسکوپی با لیزر یا کایروتراپی نیز استفاده می‌شود تا اثربخشی بیشتر شود.

درمان هیدروسفالی بدون جراحی

گرچه جراحی درمان اصلی است، اما در برخی شرایط خاص می‌توان از درمان‌های دارویی و حمایتی بهره گرفت. داروهایی مانند استازولامید و فوروزماید می‌توانند تولید مایع مغزی-نخاعی را کاهش دهند و علائم را تا حدی کنترل کنند.

علاوه بر دارو، توانبخشی، فیزیوتراپی و کاردرمانی نقش مهمی در بهبود کیفیت زندگی بیماران ایفا می‌کنند. فیزیوتراپی به تقویت عضلات، بهبود تعادل و جلوگیری از خشکی مفاصل کمک می‌کند، در حالی که کاردرمانی باعث افزایش استقلال بیمار در فعالیت‌های روزمره می‌شود. همچنین تغییراتی در سبک زندگی مانند کاهش مصرف نمک، مدیریت استرس و انجام تمرینات آرام‌سازی می‌توانند در کنار درمان اصلی مؤثر باشند.

طول عمر بیماران هیدروسفالی

طول عمر مبتلایان به شدت بیماری، علت ایجاد و زمان شروع درمان بستگی دارد. در بسیاری از بیماران، با درمان مناسب و پیگیری منظم، طول عمر نزدیک به افراد سالم است. اما تأخیر در درمان یا شدت بالای بیماری می‌تواند طول عمر را کاهش دهد.

مراقبت‌های پس از درمان و پیگیری‌های منظم

مراقبت پس از درمان اهمیت بسیار زیادی دارد. بیماران نیازمند بررسی دوره‌ای عملکرد شنت یا مسیر آندوسکوپی هستند. عفونت، تب، تغییر سطح هوشیاری، دوبینی و مشکلات حرکتی می‌توانند نشانه‌ای از اختلال در درمان باشند. پیگیری‌های منظم با MRI و معاینه بالینی از بروز بسیاری از عوارض جلوگیری می‌کند.

💡 اگر شما یا یکی از عزیزانتان با علائم هیدروسفالی مواجه هستید، تعلل نکنید! مراجعه سریع به یک متخصص جراحی مغز و اعصاب می‌تواند تفاوتی حیاتی در نتیجه درمان ایجاد کند.

۱۰ سوال رایج درباره هیدروسفالی

۱. هیدروسفالی چیست؟
یک بیماری مغزی ناشی از تجمع بیش از حد مایع مغزی ـ نخاعی.

۲. علائم اصلی هیدروسفالی چیست؟
سردرد، تهوع، تاری دید، مشکلات تعادل و حافظه.

۳. علت‌های هیدروسفالی چیست؟
مادرزادی، ضربه مغزی، عفونت‌ها یا اختلال در جذب CSF.

۴. چگونه تشخیص داده می‌شود؟
با تصویربرداری‌هایی مثل MRI و CT اسکن.

۵. روش‌های درمانی کدام‌اند؟
شنت مغزی، آندوسکوپی و در برخی موارد دارو.

۶. آیا عوارضی دارد؟
بله، از مشکلات حرکتی تا اختلال شناختی و حتی مرگ.

۷. آیا بر بارداری تأثیر دارد؟
بله، نیازمند مراقبت ویژه و پیگیری دقیق است.

۸. آیا قابل درمان کامل است؟
به علت و شدت بیماری بستگی دارد؛ برخی موارد کنترل می‌شوند، برخی نه.

۹. خطرات درمان چیست؟
عفونت، انسداد شنت، خونریزی یا نیاز به جراحی‌های مکرر.

۱۰. آیا ژنتیکی است؟
در برخی موارد، بله؛ ممکن است زمینه خانوادگی داشته باشد.